JointDisplay

MLModule

genre

Image

author

MeVis Medical Solutions AG

package

MeVisLab/Standard

dll

MLJointHist

definition

MLJointHist.def

keywords

combine, registration, viewer, match, checkerboard

Purpose

The module JointDisplay generates an image containing parts of two input images.

The output is often used to visualize registration results.

Details

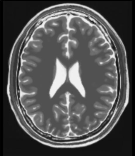
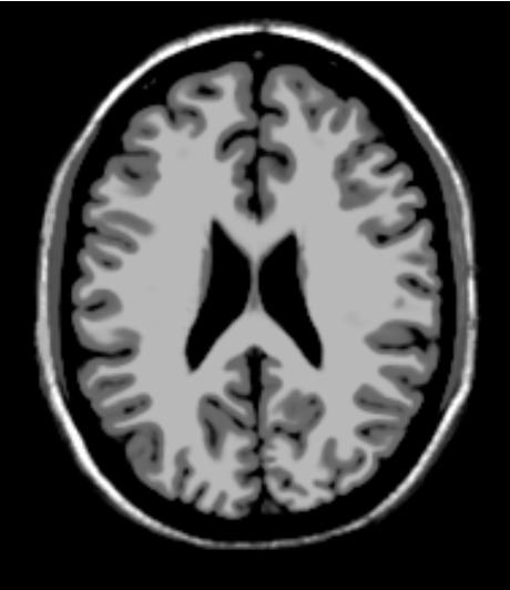
As an example, we use simulated T1- and T2-weighted MR images. The images were obtained from the MNI BrainWeb MR simulator.

T1-weighted image:

../../../Modules/ML/MLJointHist/mhelp/Images/t1.JPG

T2-weighted image:

../../../Modules/ML/MLJointHist/mhelp/Images/t2.JPG

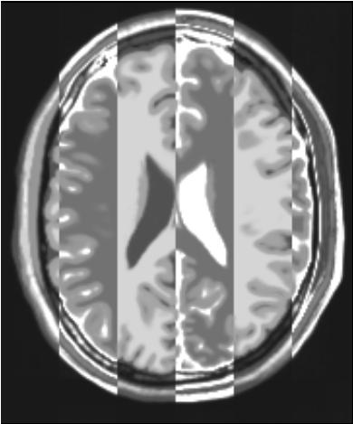
Results with a Number of Rectangles = 6.

Display Mode = Horizontal:

../../../Modules/ML/MLJointHist/mhelp/Images/horizontal.JPG

Display Mode = Vertical:

../../../Modules/ML/MLJointHist/mhelp/Images/vertical.JPG

Display Mode = Region:

../../../Modules/ML/MLJointHist/mhelp/Images/region.JPG

Windows

Default Panel

../../../Modules/ML/MLJointHist/mhelp/Images/Screenshots/JointDisplay._default.png

Input Fields

input0

name: input0, type: Image

input1

name: input1, type: Image

Output Fields

output0

name: output0, type: Image

Parameter Fields

Visible Fields

Number of Rectangles

name: numOfRectangles, type: Integer, default: 4, minimum: 1

Sets the number of rectangles in each row and/or column.

Display Mode

name: displayMode, type: Enum, default: Region

Defines the mode of division.

Values:

Title

Name

Description

Horizontal

Horizontal

Resulting images are interlaced horizontally.

Vertical

Vertical

Resulting images are interlaced vertically.

Region

Region

Resulting images are interlaced in a chessboard pattern.