RecAnisoDiffusion

MLModule

genre

Diffusion

author

MeVis Medical Solutions AG

package

MeVisLab/Standard

dll

MLFilter1

definition

mlFilter1.def

see also

RecGaussFilter

keywords

anisotropic, gaussian, edge, preserving, filter, smoothing, enhancement

Purpose

The module RecAnisoDiffusion applies a recursive and fast, anisotropic (edge preserving) diffusion filter to an image.

The diffusion is applied using a weighting that depends on the actual and neighboring gray values in each recursion. The higher the difference, the less the diffusion. As a result, edges with high contrast are preserved.

Usage

Use normal mode (i.e., Gaussian weighting) for best results, use wall mode (i.e., no diffusion for gray value difference greater than the given parameter Tolerance).

Details

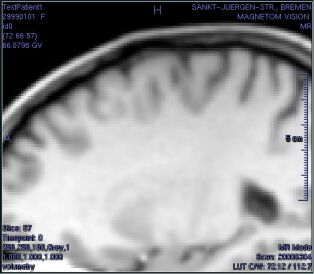
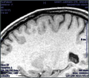
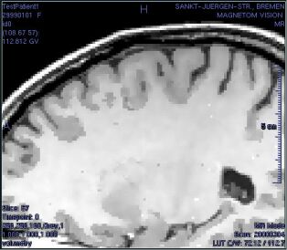
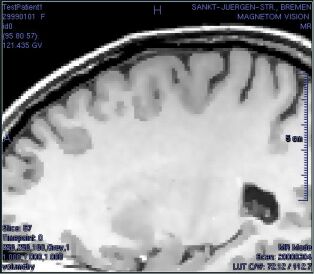
Find below images of results and the corresponding filter settings.

../../../Modules/ML/MLFilter1/mhelp/Images/DiffusionExampleOrig.jpg

Original image.

../../../Modules/ML/MLFilter1/mhelp/Images/DiffusionExampleIso.jpg

Isotropic filter (4x4x4 passes).

../../../Modules/ML/MLFilter1/mhelp/Images/DiffusionExampleWall9.jpg

Wall anisotropic filter (s=9, 4x4x4 passes).

../../../Modules/ML/MLFilter1/mhelp/Images/DiffusionExampleNormal6.jpg

Normal isotropic filter (s=6, 4x4x4 passes).

The value s is set by the field Tolerance.

Windows

Default Panel

../../../Modules/ML/MLFilter1/mhelp/Images/Screenshots/RecAnisoDiffusion._default.png

Input Fields

input0

name: input0, type: Image

A scalar ML image.

Output Fields

output0

name: output0, type: Image

The filtered output image.

Parameter Fields

Field Index

Mode: Enum

Passes in X Dir: Integer

Passes in Y Dir: Integer

Passes in Z Dir: Integer

Tolerance: Float

Visible Fields

Mode

name: mode, type: Enum, default: Normal, deprecated name: anisotropyMode

Defines the applied diffusion weighting.

The named value s is set by the field Tolerance.

Values:

Title

Name

Description

Isotropic

Isotropic

A voxel value is averaged with its direct neighbor, independent of the neighbors gray value.

No weighting is applied.

Wall

Wall

A voxel value is only averaged with its direct neighbor if the gray value difference is less or equal to s.

Normal

Normal

The degree of diffusion is weighted according to a Gaussian depending on the gray value difference.

For small differences, diffusion is close to isotropic. For large differences, diffusion is very low. s specifies sigma of the Gaussian.

Passes in X Dir

name: passesX, type: Integer, default: 2

Sets the number of passes in the x-direction.

Passes in Y Dir

name: passesY, type: Integer, default: 2

Sets the number of passes in the y-direction.

Passes in Z Dir

name: passesZ, type: Integer, default: 0

Sets the number of passes in the z-direction.

Tolerance

name: tolerance, type: Float, default: 5, deprecated name: anisotropyWidth

Sets a factor that is used differently (as s) in each different Mode.