GVROrthoView2D

MacroModule

genre

View2D

author

MeVis Medical Solutions AG

package

MeVisLab/Standard

definition

viewers.def

see also

View2D, View3D, OrthoView2D, SynchroView2D

keywords

viewer, orthogonal

Purpose

The module GVROrthoView2D provides a 2D view displaying the input image or GVR octree volume data in three orthogonal viewing directions.

Additionally, slab viewing is possible. In contrast to the module OrthoView2D, the image/octree is displayed by a SoGVRVolumeRenderer node and not by a SoView2D node. No ML cache is used. Once the octree is created, reformatting and thus slicing through the orthogonal views is fast.

Usage

Connect either an ML image or a GVR octree as an input. If both are connected, the octree is used.

Use the left mouse button to set a position in the data set. This position will be displayed in all available views.

See also View2D description for basic viewing functionality.

Windows

Viewer

../../../Modules/Macros/Viewers/mhelp/Images/Screenshots/GVROrthoView2D.Viewer.png

Settings

../../../Modules/Macros/Viewers/mhelp/Images/Screenshots/GVROrthoView2D.Settings.png

Input Fields

image

name: image, type: Image

inVolume

name: inVolume, type: GVRVolume(MLBase)

inInvPreLUT (hidden)

name: inInvPreLUT, type: SoNode

Before LUT and viewer Open Inventor input, e.g., for overlays independent of LUT settings

inInvPostLUT (hidden)

name: inInvPostLUT, type: SoNode

Between LUT and GVR Open Inventor input

inInvPostGVR (hidden)

name: inInvPostGVR, type: SoNode

Between GVR and SoOrthoView2D Open Inventor input, e.g., for per-view annotations

inInvPostViewer (hidden)

name: inInvPostViewer, type: SoNode

Behind viewer Open Inventor input, e.g., for diagram overlays

Output Fields

scene2D

name: scene2D, type: SoNode

scene3D

name: scene3D, type: SoNode

Parameter Fields

Field Index

Altern. cube layout: Bool

lutOn: Bool

sliceZoom: Float

Annotation On: Bool

Mode (annotationSizeMode): Enum

Snap to center: Bool

autoCenterOn: Bool

Mode (filterMode): Enum

synchronizePosition: Bool

blendMode: Enum

Panning: Bool

unzoom: Trigger

Center: Double

panOn: Bool

Width: Double

Colored mode: Bool

Show: Bool

World Pos.: Vector3

Inventor input fields: Bool

slabMode: Enum

zBuffer: Bool

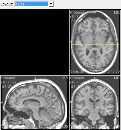
Layout: Enum

slabSize: Float

Zoom: Bool

lutColorFactor: Color

slicerOn: Bool

zoomOn: Bool

Visible Fields

Inventor input fields

name: inventorInputOn, type: Bool, default: FALSE

If checked, additional Open Inventor inputs are shown on the module.

Layout

name: layout, type: Enum, default: LAYOUT_CUBE

Defines the layout of the viewer(s).

Values:

Title

Name

Axial

LAYOUT_AXIAL

Sagittal

LAYOUT_SAGITTAL

Coronal

LAYOUT_CORONAL

Cube

LAYOUT_CUBE

Cube Equal

LAYOUT_CUBE_EQUAL

Cube Customized

LAYOUT_CUBE_CUSTOMIZED

Row

LAYOUT_ROW

Row Equal

LAYOUT_ROW_EQUAL

Row Axialextra

LAYOUT_ROW_AXIALEXTRA

Column

LAYOUT_COLUMN

Column Equal

LAYOUT_COLUMN_EQUAL

Hidden

LAYOUT_HIDDEN

Zoom

name: synchronizeZoom, type: Bool, default: TRUE

If checked, the zooming is synchronized in all viewers.

Altern. cube layout

name: alternCubeLayout, type: Bool, default: FALSE

If checked, an alternative cube layout is used for the viewers.

Panning

name: synchronizePanning, type: Bool, default: FALSE

If checked, the panning is synchronized in all viewers.

Snap to center

name: snapToCenter, type: Bool, default: FALSE

If checked, the module displays the center of the image in the respective viewer if the input image is touched.

World Pos.

name: worldPosition, type: Vector3, default: 55.5 64.5 0.5

Shows the current world position of the mouse cursor.

Colored mode

name: coloredMode, type: Bool, default: FALSE

If checked, colored borders are rendered around the viewer(s), indicating the viewing direction.

Show

name: showCurrentPos, type: Bool, default: TRUE

If checked, the current mouse position is shown in the viewer.

Center

name: greyCenter, type: Double, default: 0.2475, minimum: 0, maximum: 1

Sets the relative gray center of the LUT.

Width

name: greyWidth, type: Double, default: 0.11, minimum: 0, maximum: 1

Sets the relative gray width of the LUT.

Annotation On

name: annotationOn, type: Bool, default: TRUE

If checked, annotations showing image and patient information are rendered in the viewers.

The annotations can be toggled by pressing the A key.

The display of basic image information can be toggled by pressing the I key.

Mode (annotationSizeMode)

name: annotationSizeMode, type: Enum, default: ANNO_SHOW_DETAILED

Defines the size of the displayed annotations.

Values:

Title

Name

Deprecated Name

Hide

ANNO_SHOW_HIDE

HIDE_ANNOTATION

Short

ANNO_SHOW_SHORT

SHORT_ANNOTATION

Detailed

ANNO_SHOW_DETAILED

DETAILED_ANNOTATION

Mode (filterMode)

name: filterMode, type: Enum, default: FilterLinear

Defines the interpolation mode of the mapping of voxels to screen pixels.

Values:

Title

Name

Deprecated Name

Nearest

FilterNearest

FALSE

Linear

FilterLinear

TRUE

Linear Pre Class

FilterLinearPreClass

Cubic

FilterCubic

Linear Pre Class Premultiplied Alpha

FilterLinearPreClassPremultipliedAlpha

Hidden Fields

synchronizePosition

name: synchronizePosition, type: Bool, default: TRUE

sliceZoom

name: sliceZoom, type: Float, default: 1, minimum: 1

unzoom

name: unzoom, type: Trigger

lutOn

name: lutOn, type: Bool, default: TRUE

lutColorFactor

name: lutColorFactor, type: Color, default: 1 1 1

slicerOn

name: slicerOn, type: Bool, default: TRUE

zoomOn

name: zoomOn, type: Bool, default: TRUE

panOn

name: panOn, type: Bool, default: TRUE

autoCenterOn

name: autoCenterOn, type: Bool, default: TRUE

zBuffer

name: zBuffer, type: Bool, default: FALSE

blendMode

name: blendMode, type: Enum, default: Blend

Values:

Title

Name

Blend

Blend

Add

Add

Mip

MIP

Min IP

MinIP

Reverse Subtract

ReverseSubtract

Subtract

Subtract

slabMode

name: slabMode, type: Enum, default: USE_VIEW2D_SLAB_SIZE

Values:

Title

Name

Use View2d Slab Size

USE_VIEW2D_SLAB_SIZE

Slab Size In Mm

SLAB_SIZE_IN_MM

Slab Size In Mm Forward

SLAB_SIZE_IN_MM_FORWARD

Slab Size In Slices

SLAB_SIZE_IN_SLICES

Slab Size In Slices Negative First

SLAB_SIZE_IN_SLICES_NEGATIVE_FIRST

Slab Size In Slices Forward

SLAB_SIZE_IN_SLICES_FORWARD

Slab Size Unlimited

SLAB_SIZE_UNLIMITED

slabSize

name: slabSize, type: Float, default: 16, minimum: 0.0001